Sin dalla gravidanza, prendersi cura della propria bocca aiuta a proteggere la salute orale del nascituro. Una mamma preparata parte avvantaggiata.
Insegniamo come prendersi cura dei primi dentini con passaggi delicati e divertenti. Un’abitudine che previene carie e fastidi futuri.
Trattamenti protettivi professionali con fluoro, remineralizzanti e le sigillature riducono in modo efficace il rischio carie nei più piccoli. Una barriera semplice per un sorriso protetto.
Scoprire cosa mangiare (e cosa evitare) aiuta a prevenire carie e problemi gengivali nei bambini. Una dieta corretta sostiene denti sani e crescita serena.
Il primo incontro è un'occasione per conoscere il bambino, spiegare senza paura e creare fiducia. Un passo fondamentale per un rapporto positivo con il dentista.
I denti da latte sono denti a tutti gli effetti, nel bene e nel male. Le carie, se trascusate, possono dare dolore e ascessi. Meglio scegliere la cura in mani esperte e attente.
Se i denti iniziano a essere disallineati, intervenire presto può evitare complicazioni future. Apparecchi personalizzati per ogni età.
Russamento, respirazione irregolare o pause nel respiro possono indicare un disturbo serio. Il nostro studio aiuta a diagnosticarlo e trattarlo adeguatamente.
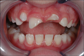
Se il tuo bambino ha un trauma dentale, dolore improvviso o dentino rotto, ti guidiamo passo-passo nei primi soccorsi. Un supporto immediato vitale e rassicurante.
Studio Tiozzi Ferroni
via Luigi Negrelli 21 - Cesenatico
Tel: 0547675156
info@tiozziferroni.com
P.IVA 03801900402
Aut.san. Prot. n° 0029137/2022 del 01/07/2022
Direttore Sanitario Dott. Enrico Tiozzi - Medico Chirurgo O.M. FC nr. 5177
Vuoi rimanere sempre aggiornato?
Seguici sui nostri canali social.