Tutti i denti presenti in bocca hanno una parte visibile detta corona e delle radici che sono immerse nell'osso e protette dalla gengiva.

 

Prevenire, curare e recuperare i danni di osso e gengiva è il compito della terapia parodontale.

 

Quando questi passaggi vengono a mancare i denti cominciano a dondolare e a muoversi.

Le gengive sanguinano quando le spazzoliamo o anche da sole.

Si ha la sensazione di avere l'alito cattivo.

Si aprono degli spazi neri tra i denti che non si avevano mai avuto.

 

Si manifesta così la parodontite, una malattia che se trascurata porta alla perdita dei denti.

 

Per fortuna la parodontite può essere trattata, fermata, bloccata e ,in alcuni casi, l'osso e la gengiva persa possono essere rigenerati.

 

Se ti hanno fatto una diagnosi di parodontite chiedi subito informazioni sul Percorso Perio.


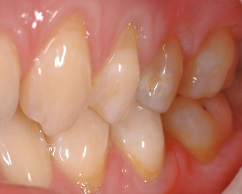
Non sempre le gengive retratte sono segno di parodontite. 

Ci sono altri motivi per cui si creano le recessioni gengivali:

  • eccessivo di spazzolamento
  • utilizzo di spazzolino o dentifrici troppo aggressivi
  • alimentazioni molto acida
  • denti storti o molto affollati.

Questa condizione determina 

  • aumento della sensibilità al caldo e al freddo,
  • aumento del rischio di carie
  • impressione che i denti sembrano più lunghi perchè si scopre la radice del dente
  • assottigliamento della gengiva che fa male anche allo spazzolamento
  • difficoltà a mangiare i cibi acidi come la frutta
  • difficoltà a mangiare i cibi croccanti.

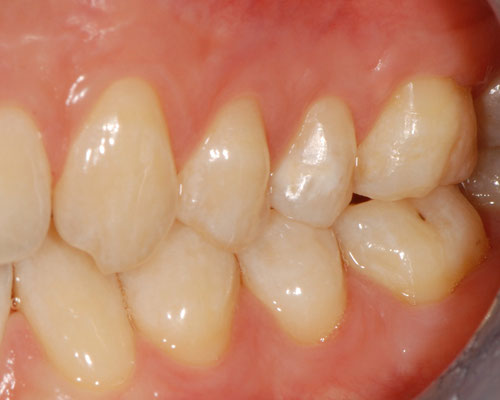
L'intervento di ricopertura radicolare fa parte della chirurgia parodontale rigenerativa e permette, dopo un attento studio per scegliere la tecnica migliore, di riportare la gengiva retratta nella sua posizione originaria.